
Wilckodontics
We are pleased to offer our patients the Wilckodontics™ System.
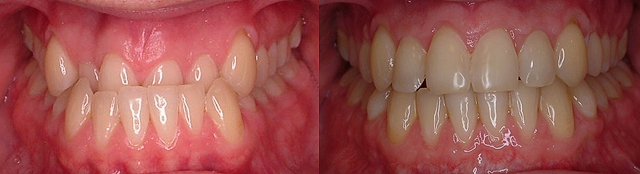
Click the image below to see examples of Wilckodontics Treatment.
Wilckodontics, which is also referred to as AOO (Accelerated Osteogenic Orthodontics), is a periodontal procedure that will dramatically shorten your orthodontic treatment time. With this procedure, most orthodontic cases in both adolescents and adults can be completed 3 to 4 times faster than would be possible with conventional orthodontics.
Learn more about Wilckodontics on their web site at www.wilckodontics.com.
